CLINICAL CASE WITH CLEARFIL MAJESTY™ ES-2
By Drs. Mart Ramaekers
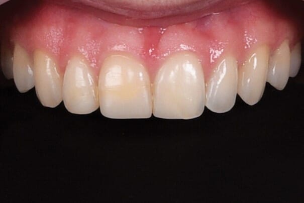
A 20-year-old patient was dissatisfied with her discolored composite restorations on her maxillary central incisors and the right lateral incisor. The original restorations had been placed after an accident with traumatic dental injuries approximately five years ago. We went through all available options that would enable us to improve the aesthetics of her anterior teeth and finally opted for replacement of the existing restorations by new direct restorations made of composite resin.
Prior to the restorative procedure, a home bleaching procedure was carried out with Opalescence 10% (Ultradent). In addition, a palatal silicon index was produced to record the shape and morphology of the existing restorations and dentition.
Initial situation

Frontal view of the initial situation.

Lateral view: The discolorations are particularly visible on the maxillary right central and lateral incisor.

Close-up view of the upper anterior teeth.

The existing restorations were removed after the administration of local anesthesia. Then, labial and palatal bevels were created, followed by sandblasting of the prepared tooth structure with alumina (50 μm). Hereafter, the enamel was etched for 30 seconds (K-Etchant Syringe, Kuraray Noritake Dental), before the primer and bond of CLEARFIL™ SE BOND (Kuraray Noritake Dental) were used according to the instructions.

Build-up of the palatal walls with a first increment of ‘enamel’ composite (CLEARFIL MAJESTY™ ES-2 Premium A2E, Kuraray Noritake Dental) using the silicon index.

Creation of the mesial and distal marginal ridges in A2E enamel composite. The procedure was facilitated by the vertical placement of sectional matrices (Contact Matrices Stiff Flex Large, Danville) in the interproximal space.

Creation of the dentin core and the dentinal mamelons by placement of an opaque composite increment (CLEARFIL MAJESTY™ ES-2 Premium, A2D). It increases the opacity in the middle third of the restoration.

Filling of the space between the mamelons with translucent composite (CLEARFIL MAJESTY™ ES-2 Premium, Translucent Clear).

Labial finishing of the restorations with a layer of semi-translucent composite (CLEARFIL MAJESTY™ ES-2 Premium, A2E).

Application of glycerin gel on top of the last layer of composite to prevent formation of an oxygen inhibited layer during the final light-curing procedure. Final contouring and polishing were performed by using red (fine) and yellow (x-fine) finishing diamonds followed by high gloss polishing with CLEARFIL™ TWIST DIA (Kuraray Noritake Dental).
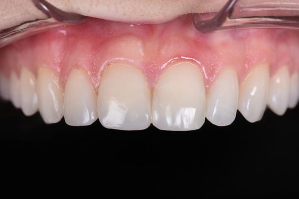
Final situation

Frontal view of the final situation.

Lateral view: No shade differences or restoration margins are visible.

Close-up view of the new restorations on the upper anterior teeth.
Ceramist:

Drs. Mart Ramaekers
Academic education
2002 - 2007 Tandheelkunde, Radboud Universiteit Nijmegen
Non-academic education
2013 - 2014 Academy of Reconstructive Dentistry, Beuningen
2019 Biomimetic Dentistry, Los Angeles
Career
2008 - 2013 Mondzorg Jekerdal Maastricht
2013 - 2015 De Drietand Maastricht
2009 - 2020 Amalia Kliniek Kerkrade
2020 - now Espenbos Kliniek Cadier en Keer
Materials used: Kuraray Noritake Dental: CLEARFIL™ SE BOND 2, K-Etchant Syringe, CLEARFIL MAJESTY™ ES-2 Premium Enamel A2E, CLEARFIL MAJESTY™ ES-2 Premium Dentin A2D , CLEARFIL MAJESTY™ ES-2 Premium Translucent Clear and CLEARFIL™ TWIST DIA. Heavy Putty (Provil Novo, Heraeus Kulzer), Glycerine gel (K-Yelly Johnson&Johnson), Rubberdam non-latex Heavy (Sigma), Contact Matrices Stiff Flex Large (Danville), Optragate Regular (Ivoclar)

Merke
Kuraray Europe GmbH
Merke
Kuraray Europe GmbH